We are passionate about helping you achieve the smiles you have always dreamed of. One way we can help is through Invisalign. Invisalign is a cosmetic dentistry treatment we can tailor to fit seamlessly into your lifestyle. We want to help guide you through this transformative journey. Every smile has a story, and we want yours to shine! If you’ve been dreaming of a straighter, more confident smile without the hassle of traditional braces, talk to Dr. Sverdlov about the magic of Invisalign. Your smile should be as unique as you are.
Invisalign is a discreet alternative to traditional metal braces. With Invisalign, busy adults can seek a straighter smile without compromising aesthetics. Invisalign offers a clear and convenient solution.

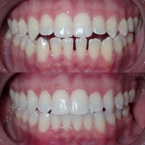
Why Choose Invisalign?
Invisalign aligners are virtually invisible. This allows you to straighten your teeth without drawing unwanted attention. You can take pictures and attend events without worrying about metal braces. This modern approach to straightening teeth, using custom-made series of aligners (trays) created for you. These aligners are crafted from smooth, comfortable materials. As a result, these aligners won’t irritate your cheeks or gums. A common complaint with metal braces is the pain from brackets or wires. However, you won’t run into this issue with Invisalign.
Wearing the aligners will gradually shift your teeth into place. You will start a new set of aligners on a regular customized schedule to best fit your needs, until the treatment is complete.
In many cases, Invisalign treatment is faster than traditional braces. While your results may vary, our team is dedicated to providing efficient and effective orthodontic care.
![]() |
![]() |
![]() |
![]() |
Patient Review
Invisalign FAQs
Invisalign is one of the most popular forms of teeth straightening. Learn more by reading the answers to these commonly asked questions.
Am I a good candidate for Invisalign?
With Dr. Sverdlov’s years of experience and advanced training, Invisalign is a solution for almost everyone. Call or schedule online for your FREE consultation to determine how well Invisalign can work for you.
How long does Invisalign treatment take?
Treatment times vary depending on the individual and the severity of your tooth alignment. An average case takes about 11 months, however with Dr. Sverdlov’s techniques to optimize Invisalign and create a customized treatment, cases can be completed in significantly less time—often in as little as 6 months. Here’s a look at the process:
Consultation
Dr. Sverdlov will meet with you to review how Invisalign can address your concerns. If you decide to move forward, we can get started the same day with a digital scan—saving you a visit.
Scanning (Data Collection)
Instead of uncomfortable impressions, we use a digital scan of your mouth—it’s easier, more comfortable for you, and more accurate. We will also take any necessary X-rays and photos.
Four Weeks Later
You will meet with Dr. Sverdlov to review a computerized animation of your projected Invisalign treatment. During this visit, you’ll see how your smile will transform, learn how many aligners you’ll need, and get a clear idea of your overall treatment timeline.
Ongoing Care
Once you approve the computerized animation, your custom trays will be ready in about two weeks. From there, you’ll wear your aligners full-time. Consistent wear is key; the more you wear your aligners, the better and more effective your results will be.
Throughout your treatment, you will meet with Dr. Sverldov as needed to ensure everything is progressing as planned. Visits can be kept to a minimum for your convenience, though you’re always welcome to come in more often if you’d like.
After Invisalign Treatment
At the completion of your treatment, once you and Dr. Sverdlov are happy with your results, you will receive a complimentary set of upper and lower retainers. You will initially wear them for 22 out of 24 hours a day for three months to help stabilize your teeth in their new position. After that, you will switch to wearing them every night to maintain your straight smile long-term.
To keep them effective, retainers should be replaced at least every two years to prevent from stretching and your teeth shifting. They also help protect your teeth from the effects of grinding or clenching—something many adults do without realizing. Plus, they can even be used as convenient whitening trays.
Does Invisalign treatment hurt?
No, you shouldn’t feel any severe or lingering pain with Invisalign. You should expect mild soreness and discomfort when you switch to a new set of aligners. This indicates that the treatment is working properly. You feel this because the aligners shift your teeth into a new position, and your mouth adjusts. If your pain lasts for a few days or longer, you should call our office.
Can Invisalign aligners change how I speak?
Like many other orthodontic devices, you may have a slight speech impediment at the start. Some patients report having a lisp for the first few days of Invisalign treatment. As you continue to wear the aligners, you’ll get used to them, and the lisp and speech issues will fade.
How much does Invisalign cost?
We offer an all-inclusive Invisalign® package which includes Complimentary Consultation, Invisalign Comprehensive Exam, Invisalign Records (scans, X-Rays, photos), Invisalign Clear Aligners, Bite Adjustment, Removable Retainers (1 set), all Invisalign treatment appointments. You can feel confident knowing there are no hidden fees – just high-quality care delivered with your best interest in mind. We offer multiple payment plan options for your convenience.
What Restrictions Will I have with Invisalign?
Unlike braces, Invisalign aligners are removable, making it easier to brush, floss, and maintain good oral health. However, they only work when they’re worn consistently—if they’re not worn enough, results will be affected. Most patients are able to continue enjoying the foods they love during treatment and adjust to wearing aligners within about a week. We do recommend being mindful of foods like curry, turmeric, and yellow mustard, as they can irreversible stain the aligners. If you choose to enjoy these foods, it’s best to do so on the last day of that aligner set. There’s no need to change your diet—just be sure to wear your aligners as recommended for the best results.
Get a Straighter Smile Today
Do you want a better alternative to metal braces? Ask us about Invisalign treatment. Schedule a consultation with Dr. Sverdlov. You can also call Ridge Family Dental for Invisalign in Lyndhurst, NJ, at 551-272-7026.




